page view

Piloto esquece-se de prender passageiro de Asa Delta e este voa pendurado

Vídeo mostra como turista da Florida sobreviveu a voo arrepiante.

27 de novembro de 2018 às 15:40

Chris Gursky, um turista norte-americano de visita à Suiça, decidiu fazer o batismo de asa delta no primeiro dia de férias, mas a viagem acabou por se tornar numa aventura mais radical do que o esperado.

O piloto esqueceu-se de prender Chris à Asa Delta e o que se passou nos dois minutos e 14 segundos seguintes foi aquilo a que Gursky apelidou de "a experiência mais próxima da morte".

Em vários momentos é possível perceber que a Chris apenas lhe resta agarrar o ferro da Asa Delta com toda a força para não morrer. Com apenas uma das mãos acabou por conseguir manter-se agarrado praticamente até à aterragem.

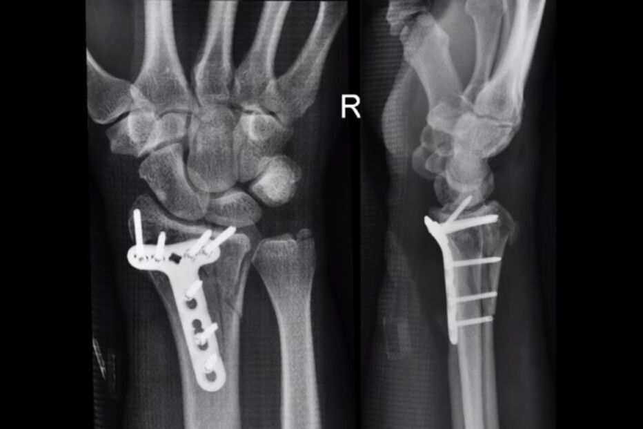
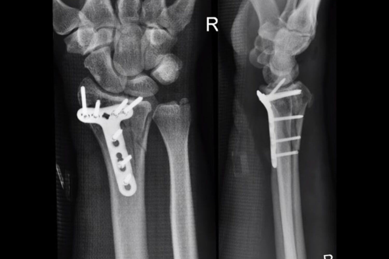
Como resultado da viagem o turista oriundo da Florida acabou por rasgar o tendão do bícep esquerdo e foi sujeito a uma cirurgia no pulso.

Gursky revela que o piloto fez tudo para o manter "em cima" da Asa Delta, depois de se aperceber que algo estava errado.

Em declarações à imprensa britânica, Chris diz que chegou a temer o pior. "Lembro-me de olhar para baixo e pensar, é agora. Estava a perder a força na mão direita", atirou.

O piloto acabou por sofrer algumas fraturas e também rasgou o tendão do bícep esquerdo.

Uma viagem que tinha tudo para ser memorável, tornou-se inesquecível pelas piores razões.

Tem sugestões ou notícias para partilhar com o CM?

Envie para geral@cmjornal.pt

o que achou desta notícia?

concordam consigo

Logo CM

Newsletter - Exclusivos

As suas notícias acompanhadas ao detalhe.

Mais Lidas

Ouça a Correio da Manhã Rádio nas frequências - Lisboa 90.4 // Porto 94.8