page view
Imagem promocional da micronovela
MICRONOVELA

Refúgio Proibido Um refúgio. Dois corações. Mil segredos.

Artigo exclusivo

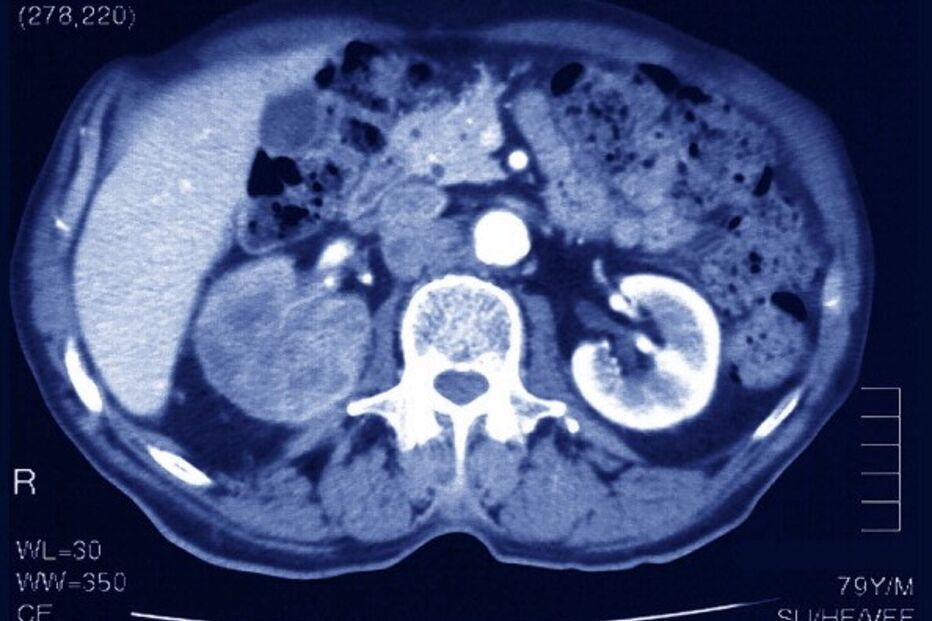
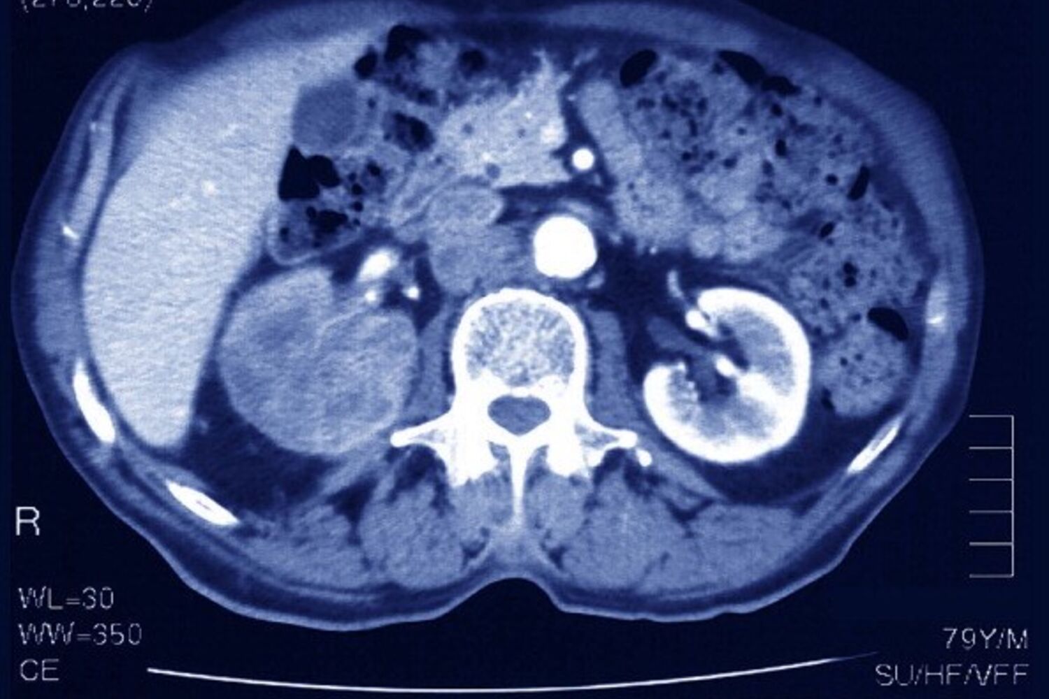
Cancro do Rim: Saiba tudo sobre este carcinoma

Só em 2020 foram registados 431 mil novos casos e 179 mil mortes no mundo.

23 de junho de 2021 às 15:53

O cancro do rim foi o 18.º cancro mais frequente em Portugal em 2020. De acordo com os últimos dados, em 2018 foram diagnosticados 1301 novos casos e 507 óbitos relacionados à doença, cerca de 1,8% de todas as mortes por cancro em Portugal. 

Tem sugestões ou notícias para partilhar com o CM?

Envie para geral@cmjornal.pt

o que achou desta notícia?

concordam consigo

Logo CM

Newsletter - Bom Dia

As suas notícias acompanhadas ao detalhe.

O Correio da Manhã para quem quer MAIS

Icon sem limites

Sem
Limites

Icon Sem pop ups

Sem
POP-UPS

icon ofertas e descontos

Ofertas e
Descontos

Mais Lidas

Ouça a Correio da Manhã Rádio nas frequências - Lisboa 90.4 // Porto 94.8