page view

Homem fratura pénis durante o sexo após escova de dentes no interior do órgão genital se ter partido

Indivíduo fez uma pequena cirurgia, em 2017, para colocar objeto a fim de ter maior "satisfação sexual".

01 de março de 2024 às 20:13

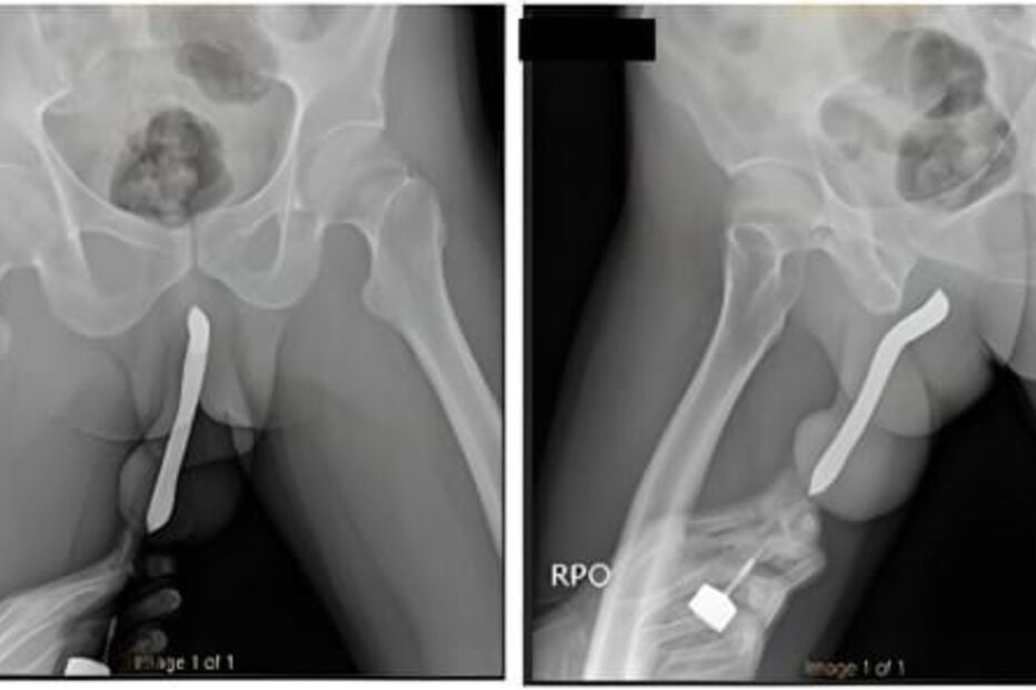
Um homem, de 43 anos, fraturou o pénis durante a atividade sexual com uma mulher depois de uma escova de dentes, que tinha inserida no órgão genital, se ter partido, de acordo com o DailyMail.

Apesar das dores, só procurou ajuda médica 12 horas depois. Feito o diagnóstico, o homem foi operado durante duas horas no Hospital Geral Académico de Soetomo, em Java Oriental, Indonésia, para reparar a fratura.

Segundo o próprio, quando questionado pela equipa médica sobre o que aconteceu, contou que em 2017 fez uma pequena cirurgia para colocar uma escova de dentes no órgão genital com o objetivo de ter maior "satisfação sexual".

Três dias após a cirurgia o paciente teve alta. Não surgiram outras complicações.

Tem sugestões ou notícias para partilhar com o CM?

Envie para geral@cmjornal.pt

o que achou desta notícia?

concordam consigo

Logo CM

Newsletter - Exclusivos

As suas notícias acompanhadas ao detalhe.

Mais Lidas

Ouça a Correio da Manhã Rádio nas frequências - Lisboa 90.4 // Porto 94.8