Paciente deslocou-se ao hospital devido a um sangramento vaginal abundante.
Uma mulher portuguesa foi obrigada a realizar uma cirurgia para remover o implante contraceptivo que se deslocou do seu braço para o pulmão esquerdo, provocando-lhe um período menstrual de quase três meses. O caso ocorreu em Viana do Castelo e foi relatado pela revista científica BMJ Case Reports
A paciente foi ao hospital após verificar que estava a ter um sangramento vaginal anormal e mais longo do que o costume. Foi então que os médicos descobriram a causa do problema.
A mulher utilizava implantes contraceptivos há já oito anos e até então nunca tinha tido qualquer problema. No hospital, os médicos não conseguiram sentir o objeto ao fazer a apalpação no membro superior.
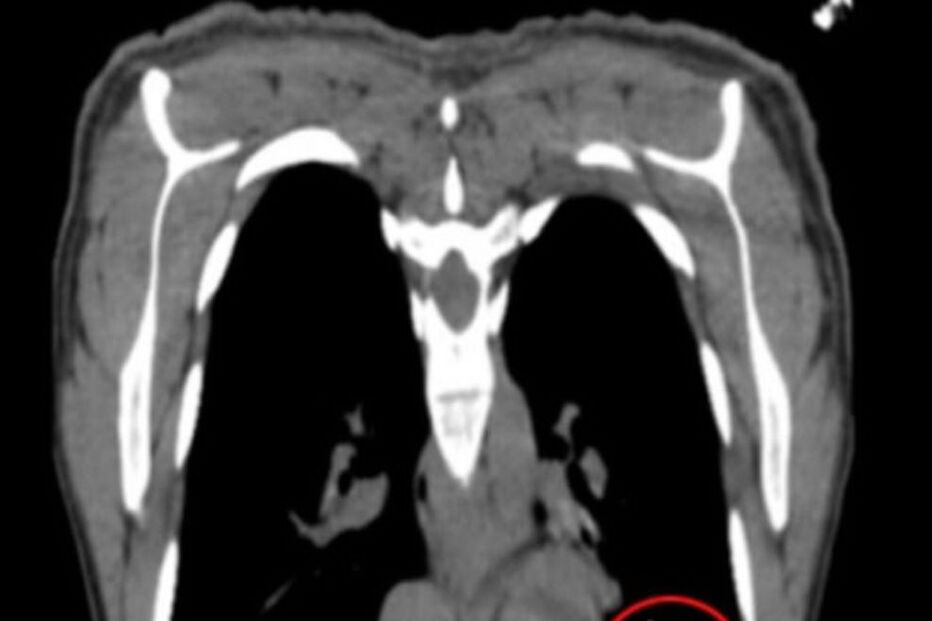
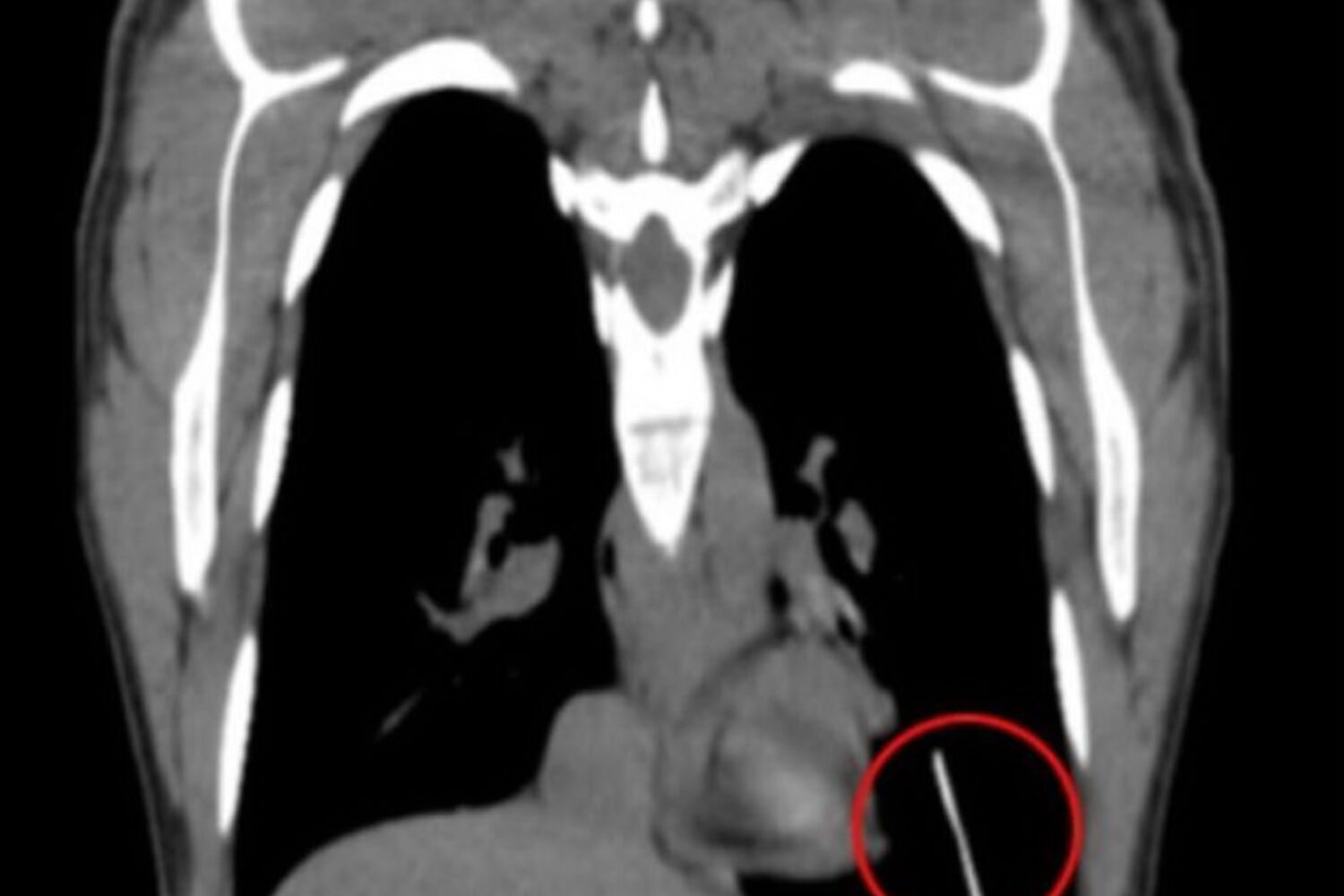
Exames posteriores mostraram que o implante estava instalado no fundo do pulmão esquerdo. No relatório médico, os profissionais sugeriram que o dispositivo tenha migrado para o pulmão através de um vaso sanguíneo, ao ter sido colocado muito profundamente. Outra das hipóteses colocadas foi a prática de exercicío fisíco intenso logo após a colocação, o que pode aumentar o risco de migração vascular.
A paciente recuperou rapidamente do susto e teve alta quatro dias após a cirurgia de remoção. Os médicos não conseguem explicar ao certo o motivo do sangramento abundante, acreditando que se terá tratado de uma desregulação hormonal, uma vez que o implante deixou de funcionar.
Em declarações ao Daily Mail, a ginecologista Tania Adib explicou que os riscos dos implantes contraceptivos se deslocarem é extremamente baixo, aumentando nos casos em que o dispositivo é colocado a um nivel mais profundo da pele e nas mulheres mais magras. A especialista deixou ainda o conselho às pacientes para que verifiquem regularmente.
Tem sugestões ou notícias para partilhar com o CM?
Envie para geral@cmjornal.pt
o que achou desta notícia?
concordam consigo
A redação do CM irá fazer uma avaliação e remover o comentário caso não respeite as Regras desta Comunidade.
O seu comentário contem palavras ou expressões que não cumprem as regras definidas para este espaço. Por favor reescreva o seu comentário.
O CM relembra a proibição de comentários de cariz obsceno, ofensivo, difamatório gerador de responsabilidade civil ou de comentários com conteúdo comercial.
O Correio da Manhã incentiva todos os Leitores a interagirem através de comentários às notícias publicadas no seu site, de uma maneira respeitadora com o cumprimento dos princípios legais e constitucionais. Assim são totalmente ilegítimos comentários de cariz ofensivo e indevidos/inadequados. Promovemos o pluralismo, a ética, a independência, a liberdade, a democracia, a coragem, a inquietude e a proximidade.
Ao comentar, o Leitor está a declarar que é o único e exclusivo titular dos direitos associados a esse conteúdo, e como tal é o único e exclusivo responsável por esses mesmos conteúdos, e que autoriza expressamente o Correio da Manhã a difundir o referido conteúdo, para todos e em quaisquer suportes ou formatos actualmente existentes ou que venham a existir.
O propósito da Política de Comentários do Correio da Manhã é apoiar o leitor, oferecendo uma plataforma de debate, seguindo as seguintes regras:
Recomendações:
- Os comentários não são uma carta. Não devem ser utilizadas cortesias nem agradecimentos;
Sanções:
- Se algum leitor não respeitar as regras referidas anteriormente (pontos 1 a 11), está automaticamente sujeito às seguintes sanções:
- O Correio da Manhã tem o direito de bloquear ou remover a conta de qualquer utilizador, ou qualquer comentário, a seu exclusivo critério, sempre que este viole, de algum modo, as regras previstas na presente Política de Comentários do Correio da Manhã, a Lei, a Constituição da República Portuguesa, ou que destabilize a comunidade;
- A existência de uma assinatura não justifica nem serve de fundamento para a quebra de alguma regra prevista na presente Política de Comentários do Correio da Manhã, da Lei ou da Constituição da República Portuguesa, seguindo a sanção referida no ponto anterior;
- O Correio da Manhã reserva-se na disponibilidade de monitorizar ou pré-visualizar os comentários antes de serem publicados.
Se surgir alguma dúvida não hesite a contactar-nos internetgeral@medialivre.pt ou para 210 494 000
O Correio da Manhã oferece nos seus artigos um espaço de comentário, que considera essencial para reflexão, debate e livre veiculação de opiniões e ideias e apela aos Leitores que sigam as regras básicas de uma convivência sã e de respeito pelos outros, promovendo um ambiente de respeito e fair-play.
Só após a atenta leitura das regras abaixo e posterior aceitação expressa será possível efectuar comentários às notícias publicados no Correio da Manhã.
A possibilidade de efetuar comentários neste espaço está limitada a Leitores registados e Leitores assinantes do Correio da Manhã Premium (“Leitor”).
Ao comentar, o Leitor está a declarar que é o único e exclusivo titular dos direitos associados a esse conteúdo, e como tal é o único e exclusivo responsável por esses mesmos conteúdos, e que autoriza o Correio da Manhã a difundir o referido conteúdo, para todos e em quaisquer suportes disponíveis.
O Leitor permanecerá o proprietário dos conteúdos que submeta ao Correio da Manhã e ao enviar tais conteúdos concede ao Correio da Manhã uma licença, gratuita, irrevogável, transmissível, exclusiva e perpétua para a utilização dos referidos conteúdos, em qualquer suporte ou formato atualmente existente no mercado ou que venha a surgir.
O Leitor obriga-se a garantir que os conteúdos que submete nos espaços de comentários do Correio da Manhã não são obscenos, ofensivos ou geradores de responsabilidade civil ou criminal e não violam o direito de propriedade intelectual de terceiros. O Leitor compromete-se, nomeadamente, a não utilizar os espaços de comentários do Correio da Manhã para: (i) fins comerciais, nomeadamente, difundindo mensagens publicitárias nos comentários ou em outros espaços, fora daqueles especificamente destinados à publicidade contratada nos termos adequados; (ii) difundir conteúdos de ódio, racismo, xenofobia ou discriminação ou que, de um modo geral, incentivem a violência ou a prática de atos ilícitos; (iii) difundir conteúdos que, de forma direta ou indireta, explícita ou implícita, tenham como objetivo, finalidade, resultado, consequência ou intenção, humilhar, denegrir ou atingir o bom-nome e reputação de terceiros.
O Leitor reconhece expressamente que é exclusivamente responsável pelo pagamento de quaisquer coimas, custas, encargos, multas, penalizações, indemnizações ou outros montantes que advenham da publicação dos seus comentários nos espaços de comentários do Correio da Manhã.
O Leitor reconhece que o Correio da Manhã não está obrigado a monitorizar, editar ou pré-visualizar os conteúdos ou comentários que são partilhados pelos Leitores nos seus espaços de comentário. No entanto, a redação do Correio da Manhã, reserva-se o direito de fazer uma pré-avaliação e não publicar comentários que não respeitem as presentes Regras.
Todos os comentários ou conteúdos que venham a ser partilhados pelo Leitor nos espaços de comentários do Correio da Manhã constituem a opinião exclusiva e única do seu autor, que só a este vincula e não refletem a opinião ou posição do Correio da Manhã ou de terceiros. O facto de um conteúdo ter sido difundido por um Leitor nos espaços de comentários do Correio da Manhã não pressupõe, de forma direta ou indireta, explícita ou implícita, que o Correio da Manhã teve qualquer conhecimento prévio do mesmo e muito menos que concorde, valide ou suporte o seu conteúdo.
ComportamentoO Correio da Manhã pode, em caso de violação das presentes Regras, suspender por tempo determinado, indeterminado ou mesmo proibir permanentemente a possibilidade de comentar, independentemente de ser assinante do Correio da Manhã Premium ou da sua classificação.
O Correio da Manhã reserva-se ao direito de apagar de imediato e sem qualquer aviso ou notificação prévia os comentários dos Leitores que não cumpram estas regras.
O Correio da Manhã ocultará de forma automática todos os comentários uma semana após a publicação dos mesmos.
Para usar esta funcionalidade deverá efetuar login.
Caso não esteja registado no site do Correio da Manhã, efetue o seu registo gratuito.
Escrever um comentário no CM é um convite ao respeito mútuo e à civilidade. Nunca censuramos posições políticas, mas somos inflexiveis com quaisquer agressões. Conheça as
Inicie sessão ou registe-se para comentar.